识图解病

周 02-8月-2016
此肠道病变的致病源是?

周 26-7月-2016
哪种肿瘤影响公猪生殖器?

周 19-7月-2016
问:此皮肤病变是由哪种疾病造成的?

周 12-7月-2016
以下哪种细菌与此病变无关?

周 05-7月-2016
何种原因造成此7周龄仔猪心囊和肺部内膜增厚?

周 28-6月-2016
此10周龄猪尸检时的鼻腔病变是?

周 21-6月-2016
此育成猪的呼吸道和肺部病变是?

周 14-6月-2016
此成年种猪肝和脾增大到是由哪种病原造成的:

周 07-6月-2016
此猪淋巴结的结状病变是由哪种疾病造成的?

周 31-5月-2016
问:此贫血小母猪的红细胞内,直径为1微米的有机体(箭头)是?

周 24-5月-2016
问:造成此育肥猪头部位置的疾病是?

周 17-5月-2016
问题:夏季,开放式种猪场,何种疾病导致妊娠后期大量流产和死胎?

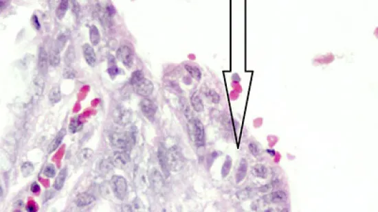
周 10-5月-2016
此腹泻仔猪的小肠粘膜中的生物体(箭头)是?

周 03-5月-2016
问:此腿跛行种猪的病变是?

周 26-4月-2016
造成此新近死亡的12周龄猪的病变原因是?

周 19-4月-2016
问:此新近死亡的成年种猪的病变是?

周 12-4月-2016
造成此新生仔猪死亡的原因

周 05-4月-2016
造成此户外饲养死亡猪的病变的原因,猪表现为脖子和喉咙肿胀?

周 29-3月-2016
此图观察到的病变是:

周 22-3月-2016
此扁桃体观察到的病变是?

周 15-3月-2016
心脏观察到的病变是

周 09-3月-2016
此病变是?

周 01-3月-2016
此出血的病因是:

周 23-2月-2016
在肝小叶中心观察到的红色斑点揭示

周 17-2月-2016
图中可见仔猪严重的胸腺萎缩。仅在前心区可见残存的胸腺,且已在胸腔内,以下哪种病原体可造成这种病变?

周 26-1月-2016
此病变与什么有关?

周 19-1月-2016
这是什么病变