呼吸系统的主要作用是从空气中获取氧气,并消除组织分解代谢中的二氧化碳。由于猪没有发育良好的汗腺,呼吸系统在体温调节过程中也起着重要作用。多余的热量通过称为热喘的蒸发系统排出。
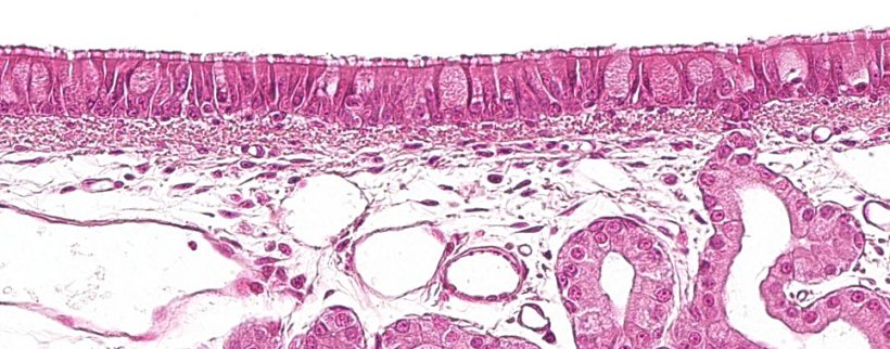
呼吸系统的第一部分,即传导区或呼吸区,从鼻腔一直延伸到细支气管的最后分支,还包括与鼻腔、鼻咽和喉部相连的鼻窦和副鼻窦。所有这些管状结构都是有假复层纤毛柱状上皮的杯状细胞(图1),杯状细胞是负责呼吸道粘膜的主要防御系统之一,即粘膜纤毛系统。该系统由呼吸道上皮细胞的纤毛、杯状细胞的分泌物和呼吸道粘膜下的浆液性腺体组成。它们的主要功能是消除通过吸入空气进入的微粒。腺体在纤毛之间分泌一种清澈、低粘度、富含蛋白质的液体,形成一种促进纤毛向上运动的介质。杯状细胞分泌的粘液沉积在纤毛上,粘附吸入的颗粒。纤毛的向上运动将粘液推向上呼吸道;粘液随后可被吞咽并进入消化道,在消化道被消化,或通过口腔和/或鼻腔排出。导致纤毛损伤的支原体、引起上皮细胞破坏的猪流感或呼吸道冠状病毒等病原体,通过破坏这些防御系统而发挥致病作用。

与呼吸粘膜相关的是支气管相关淋巴组织(BALT),在此淋巴细胞和外部病原体的抗原发生相互作用,引起特异性防御反应,从而避免全身性免疫反应。其特征在于普遍存在通过IgA进行的体液免疫应答,其通过主动转运选择性地分泌在粘膜表面。

继呼吸细支气管之后是由肺泡组成的呼吸系统,肺泡由一层薄薄的壁界定, 此处有密集的毛细血管网,在此空气和血液之间进行气体交换。
排列在肺泡上的上皮由两种细胞类型组成,分别称为I型和II型肺泡细胞(图2)。I型肺泡细胞是覆盖肺泡表面的扁平细胞,气体很容易通过其细胞质。I I型肺泡细胞单独或成群出现在I型肺泡细胞中,主要分布在肺泡间隔的边缘。它们的形态从圆形到立方形不等,表面上几乎没有微绒毛。它们的细胞质含有细胞器,称为板层小体或细胞体。细胞体在肺泡表面分泌一种表面活性剂,这种物质与水分子混合,从而降低其内聚力,进而降低肺泡液的表面张力,防止肺塌陷,从而需要较小的吸气力就很容易地向肺泡内充入空气。这些细胞具有分裂和分化为I型肺泡细胞的能力,是细胞更新的主要来源。肺泡壁的中心被间质占据,间质本质上是结缔组织,支持广泛的毛细血管网接合。

肺巨噬细胞是另一种重要的肺防御机制。除了位于肺泡腔的肺泡巨噬细胞外,我们还可以发现位于毛细血管内的血管内肺巨噬细胞和位于间隔间质的间质巨噬细胞(图2)。前者通过吞噬微生物和吸入颗粒物来保护肺泡腔,后者则负责清除通过血流到达肺部的颗粒物或病原体。肺内巨噬细胞是炎症介质的主要产生者,如细胞因子和趋化因子,它们也可以由其他类型的细胞分泌。这些分子的主要功能是将诸如嗜中性粒细胞和淋巴细胞之类的炎性细胞吸引到损伤部位,从而充当参与炎性过程的细胞之间的“通信系统”。 诸如猪繁殖与呼吸综合征(PRRSV)之类的病毒,其主要靶细胞是肺泡巨噬细胞(图3),改变了它们的基本功能(吞噬作用,抗原呈递和细胞因子产生),并最终导致其坏死和/或凋亡,从而调节免疫反应,延迟有效适应性反应的出现,从而有利于继发感染的发生。

我们需谨记,肺泡是呼吸交换发生的地方,与外部接触,因此粘液纤毛器的完整性和巨噬细胞的功能是维持呼吸功能稳态的基础。
来源:pig333



